МРТ-ангиография — это способ заглянуть внутрь сосудистой системы без скальпеля и без лучевой нагрузки. Она дает трёхмерную, детальную картину артерий и вен, помогает понять, где нарушен кровоток, есть ли аневризма, стеноз или тромб. Для многих пациентов это первый выбор, когда врач хочет изучить сосуды бережно и точно.
В этой статье я объясню, как работает метод, какие существуют его разновидности, в каких клинических ситуациях он особенно полезен, и чего от него стоит ждать по части подготовки и возможных ограничений. Текст живой — без тяжеловесных формул, зато с практическими наблюдениями, которые пригодятся и пациенту, и врачу.
Содержание
Что такое МРТ-ангиография и почему она отличается от обычной МРТ
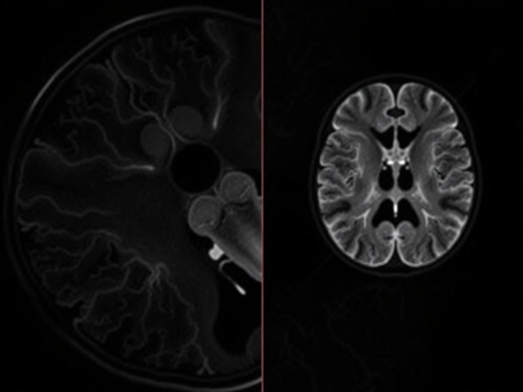
МРТ-ангиография, или МРА, — это разновидность магнитно-резонансной томографии, ориентированная на визуализацию сосудов. Обычная МРТ показывает ткани и органы, а МРА — тонкую сеть артерий и вен в высоком контрасте. Разница кроется не в аппарате, а в программировании последовательностей и способах обработки изображений. На сайте https://eurodicenter.ru/uslugi/magnitno-rezonansnaya-tomografiya/magnitno-rezonansnaya-tomografiya-sosudov/magnitno-rezonansnaya-tomografiya-angiografiya можно получить больше информации про МРТ-ангиографию.
В основе лежат свойства крови: движущаяся кровь по-разному реагирует на радиочастотные импульсы и градиенты поля по сравнению со статическими тканями. Выбирая нужную последовательность, техник делает сосуды яркими, а окружающие ткани — приглушёнными, что и дает понятную карту сосудистой сети.
Как работает МРА: ключевые принципы
Есть два основных подхода: усиливать сигнал от движущейся крови либо использовать контрастное вещество, которое ярко подсвечивает сосуды. Первый путь — это неинвазивно и подходит для многих случаев. Второй — когда нужна максимальная детализация и временное разрешение.
Сигнал от крови можно выделять по скорости, по фазе или по времени пролета. Кроме того, современные томографы умеют снимать трёхмерные объёмы с высокой разрешающей способностью, а затем реконструировать их в виде максимальной интенсивности (MIP) или объемных моделей (VR). Такие изображения легко интерпретировать и удобно показывать пациенту.
Time-of-Flight (TOF)
TOF — один из самых распространённых неинвазивных методов. Его идея проста: свежая кровь, входящая в зону сканирования, еще не облучалась предыдущими импульсами и дает яркий сигнал. Статические ткани «затемнены», поэтому сосуды выделяются контрастно.
TOF хорош для сосудов головного мозга и шеи, но чувствителен к очень медленному току и турбулентности — там сосуд может выглядеть суженным или вовсе исчезнуть. Для оценки динамики кровотока этот способ ограничен.
Phase-contrast (PC)
Phase-contrast основан на измерении фазового сдвига от движущейся крови. Он позволяет получить количественные данные о скорости и направлении потока. Это полезно при оценке открытости протезов клапанов, шунтов и при мониторинге врожденных пороков.
Недостаток PC в том, что он требует больше времени и точной настройки, но при правильном использовании дает уникальную информацию о гемодинамике.
Контрастная (CE-MRA) и временная MRA (time-resolved)
Контрастная МРА использует гадолинийсодержащие препараты, которые резко повышают сигнал крови. Это метод выбора, когда нужно увидеть мелкие ветви, оценить сосудистые мальформации или получить высокое пространственное разрешение за короткое время.
Time-resolved MRA — разновидность CE-MRA, снимающая серию фаз после введения контраста. Она показывает, как контраст распространяется по артериям и венам, что полезно при подозрении на артериовенозные свищи или при оценке венозного возврата.
Показания к МРТ-ангиографии
МРА применяется в самых разных клинических ситуациях. Часто это скрининг и уточняющая диагностика, реже — срочная оценка при острых состояниях. Ниже — основные показания, собранные по клинической логике, а не по шаблону.
- Подозрение на стенозы и окклюзии сосудов при острых и хронических нарушениях кровообращения.
- Аневризмы артерий головного мозга и их последующее наблюдение.
- Оценка сосудистых мальформаций и артериовенозных свищей.
- Диагностика поражений сосудов шеи и сонных артерий при ишемическом инсульте или транзиторных атаках.
- Исследование сосудов брюшной полости — почечных артерий, печёночных сосудов, мезентериальных артерий.
- Оценка периферических артерий при подозрении на поражение у больных с болями в ногах и язвами.
- Передоперационное планирование и контроль результатов эндоваскулярных вмешательств.
Подготовка к исследованию и что происходит в кабинете МРТ
Подготовка обычно проста: нужно снять металлические предметы — украшения, часы, съемные зубные протезы. Если планируется контрастирование, потребуется анализ функции почек (например, уровень креатинина или оценка eGFR) — чтобы снизить риск осложнений, связанных с контрастом.
На приёме вас попросят лечь на стол томографа, который затем заедет в тоннель. Шум от работы магнита — нормальное явление; выдадут беруши или наушники. Исследование может длиться от нескольких минут до получаса в зависимости от объёма и метода. Если вы испытываете клаустрофобию, обсудите с врачом возможные варианты — седативные препараты или исследование на аппарате с более широким туннелем.
Противопоказания и меры предосторожности
Магнитное поле не совместимо с некоторыми металлическими имплантатами. Классические противопоказания — наличие некоторых кардиостимуляторов, нейростимуляторов или фрагментов металла, особенно вблизи глаз. Сегодня многие устройства MRI-conditional — это значит, что исследование возможно при соблюдении условий производителя.
Контрастные препараты на основе гадолиния в целом безопасны, но их применение ограничено при выраженной почечной недостаточности; при низком eGFR есть риск нефрогенной системной фиброзы. Кроме того, обсуждается накопление следов гадолиния в тканях при многократных введениях, поэтому врачи взвешивают пользу и риск.
- Проверка наличия имплантов и их MRI-условий.
- Оценка функции почек при планируемом контрастировании.
- Информирование о возможной аллергии — реакции на гадолиний редки, но возможны.
- Обсуждение седативных средств при сильной тревоге или клаустрофобии.
Преимущества и ограничения МРА — как она соотносится с CTA и DSA
МРА выигрывает у компьютерной томографии отсутствием ионизирующего излучения и у цифровой субтракционной ангиографии меньшей инвазивностью. Она прекрасно подходит для повторных исследований и для пациентов, которым важно избежать рентгеновского облучения.
Ограничения — более низкое пространственное разрешение по сравнению с CTA, чувствительность к движению пациента и артефакты от металлических стентов или кальцифицированных бляшек. В экстренной ситуации, когда нужна мгновенная высокодетализированная ангиография с возможностью тотального вмешательства, DSA остаётся эталоном.
| Критерий | МРА | КТА | ДСА |
|---|---|---|---|
| Ионизирующее излучение | Нет | Да | Да |
| Инвазивность | Минимальная | Минимальная | Инвазивная (катетеризация) |
| Пространственное разрешение | Хорошее, но уступает КТА | Высокое | Очень высокое |
| Контраст | Часто гадолиний; есть неконтрастные методы | Йодсодержащий контраст | Йодсодержащий контраст |
| Лучший выбор для | Пациентов без лучевой нагрузки, повторные исследования | Оценки мелких сосудов, быстрые исследования | Инвазивная терапия и точная анатомия |
Артефакты и технические нюансы, о которых стоит знать
Артефакты могут исказить картину и привести к ложным выводам. Наиболее частые проблемы — движение пациента, насыщение сигнала при медленном кровотоке, искажённый сигнал вблизи металлических объектов. Знание природы артефакта позволяет либо скорректировать протокол, либо интерпретировать изображение правильно.
Технические приемы для улучшения качества включают использование быстрых 3D-последовательностей, дыхательной синхронизации для брюшных сосудов, применение специальных катушек и корректирующих алгоритмов для уменьшения эффекта от металла. При наличии стента иногда целесообразно выбирать контрастную технику или другие модальности.
- Артефакт от турбулентного потока — может имитировать стеноз.
- Венозная контаминация при медленной артериальной фазе — решается time-resolved съемкой.
- Сусцессионные артефакты от металла — хуже выражены при современных алгоритмах, но всё ещё ограничивают оценку.
Постобработка и как врач получает окончательное изображение
После сканирования DICOM-объём обрабатывают: строят MIP-снимки, объёмные реконструкции и срезы по кривой плоскости. MIP показывает максимальное значение сигнала вдоль проекции и часто используется для быстрой оценки анатомии. VR даёт объёмную модель, удобную для планирования операции или эндоваскулярного вмешательства.
Кроме визуальной оценки, некоторые последовательности позволяют получить количественные параметры — скорость и объем потока. Эти данные ценны при контроле после операций или при оценке гемодинамической значимости стеноза.
Практические клинические сценарии: когда МРА меняет тактику лечения
Представьте пациента с транзиторной ишемической атакой — МРА шеи и головы может выявить критический стеноз сонной артерии, что повлияет на решение об эндартерэктомии или стентировании. При выявлении аневризмы МРА позволяет проследить форму и связаться с нейрососудистым хирургом без риска лучевой нагрузки.
В случае подозрения на почечный стеноз контрастная МРА даёт представление о выраженности сужения и направлении лечения. Для пациентов с диабетической ишемией ног МРА помогает локализовать поражение и определить уровень вмешательства.
Заключение
МРТ-ангиография — гибкий инструмент в арсенале современных диагностических методов. Она объединяет точность, безопасность и широкие клинические возможности: от выявления аневризм до планирования сосудистых операций. Метод не лишён ограничений: чувствительность к металлу, ограничения при выраженной почечной недостаточности и иногда уступающее CTA пространственное разрешение. Тем не менее, для многих пациентов МРА остаётся оптимальным выбором — без облучения и с высокой информативностью.
Если вас направляют на МРА, обсудите с врачом цель исследования, необходимость контраста и наличие имплантов. Понимание принципов работы и ограничений поможет воспринять результаты спокойно и грамотно участвовать в принятии решений о дальнейшей тактике.











